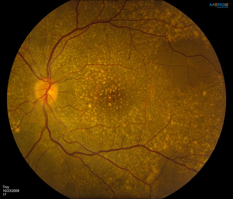
Drusen
Presented by Tracey Troszak, CRAThis photograph received 2nd Place in the category "Fundus Photography, Wide Angle, 45°-60°" and was displayed at the 2024 ASCRS/OPS Society Exhibit.

Browse all Winning 2024 ASCRS/OPS Exhibit Photos
This photograph was presented as part of the Ophthalmic Photographers' Society Photo Exhibit at the 2024 ASCRS Annual Meeting. Browse all 2024 winning photographs using the link below.